MENU
WEB予約
初診Web予約
再診予約(歯科医師施術)
再診予約(歯科衛生士施術)
コンセプト
STAFF
医院案内
医院案内
機器材料のご紹介
診療科目 治療費
診療科目 治療費
保険外治療費
Case
blog
よくあるご質問(FAQ)
採用情報
WEB予約
初診Web予約
再診予約(歯科医師施術)
再診予約(歯科衛生士施術)
コンセプト
STAFF
医院案内
医院案内
機器材料のご紹介
診療科目 治療費
診療科目 治療費
保険外治療費
Case
blog
よくあるご質問(FAQ)
採用情報
メディア
HOME
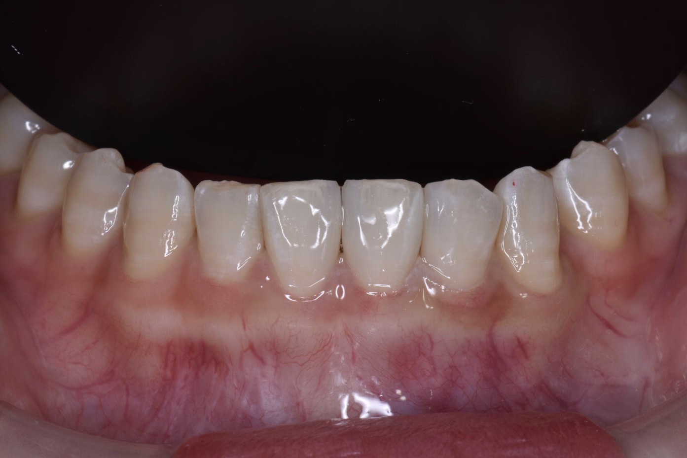
directrestration-case4-2
2021-04-29
/ 最終更新日 :
2021-04-29
makespace
directrestration-case4-2
directrestration-case4-2
092-406-4399