ダイレクトボンディング
ダイレクトボンディングとは

ダイレクトボンディングとは、直接お口の中で歯を修復する方法です。
コンポジットレジンを用いるためCRやレジン充填とも言われます。
保険外の場合を特にダイレクトボンディングと呼んでいます。
単に虫歯などの穴を埋めるだけの修復は保険診療で行えます。
すきっ歯の修復など審美目的の修復や、通常保険であれば銀歯で行うところを審美目的で修復を行う際は自費診療として行っております。
ダイレクトボンディングの実際
Case.1 早期発見された歯間の虫歯
歯の間に虫歯が出来ています。

一般的な歯科医院ではこの様な場合、下の写真の様に銀歯で修復します。

ダイレクトボンディングの場合

悪いところだけをとります

ピンポイントで修復しました


虫歯は小さいうちにダイレクトボンディングによる修復が第一選択とすべきと考えております。
理由は
銀歯は虫歯になるから
銀歯は歯と接着されていません。セメントを介してはめ込んでいるだけです。
フィットが良ければ虫歯を作らず長持ちしますが、浮いて隙間があるような銀歯はガムにひっついて外れるか、外れなければ隙間から虫歯を作ります。
Case.2 銀歯の下に出来た虫歯

銀歯をはずしたところです。白いのはセメント、黒くみえるのが隙間があいて細菌が入り込んでいるところです。

丁寧に除去し、虫歯検知液を使って青く染まる感染歯質を取り除きます。

バイタインリングという装置を取り付けます。歯の間を適切に修復するための器具です。


これほどの範囲の修復では、銀歯やセラミックなどで間接修復をすべきところですが、カウンセリングの上で、ダイレクトボンディングで行うこととなりました。
強度に問題がある場合おすすめしないこともありますが、患者さんのご希望があれば優先します。
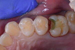
Case.3 咬合力がかかる部位への修復
下の歯です。銀歯が浮いて虫歯が出来ています。

銀歯を外したところです。

虫歯を除去したところです。進行していましたが神経を取らずに済みました。

最終研磨前の状態です。赤い点が噛み合わせで上の歯と接触している点です。

ひと昔前に比べ、コンポジットレジンの耐久性ははるかに向上しています。当クリニックで使用している最上級のコンポジットレジンはセラミックの粒子を多く含み耐摩耗性に優れます。簡単にすり減りません。
歯の形態を復元し、しっかりと適切な咬合を与えます。
最終研磨の後です。

Case.4 すきっ歯の審美修復
ダイレクトボンディングによって、歯を削ることなく1日ですきっ歯を審美修復することが出来ます。
上の前歯の場合

下の前歯の場合

費用
30,000円(税込33,000円)
すきっ歯の修復は2本で60,000円 →50,000円(税込55,000円)