デンタルドック
当クリニックでは、初回に全体の検査を行います。
後日カウンセリングを行い検査結果の詳しい説明と今後の計画などを相談することが出来ます。治療方法の選択肢や費用など、納得した上で治療を受けることが出来ます。
※緊急性のある場合などは先に処置を行います。
ここではデンタルドックの流れをご説明します。
問診
現在のお口の状況や、お困りのことやご要望についてお伺いします。

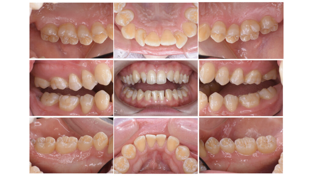
口腔内写真撮影
初診時の記録を撮ります。
歯周病の検査
歯茎の状態を検査します。

全顎クリーニング(歯石除去、PMTC)
歯に付着した歯石やプラークを除去しツルツルにします。

レントゲン撮影
目で見えない虫歯や、根や骨の状態を確認します。

後日、
検査結果説明、カウンセリング
検査結果の説明を行います。

初診時の費用
3割負担の場合、3,990円です。カウンセリング料も費用に含まれます。


